手臂无力、头晕目眩?可能是血液在"倒流"——揭秘锁骨下动脉盗血综合征

发布来源:甘肃省武威医学科学院
发布时间:2026-03-23 00:00:00
字体:

手臂无力、头晕目眩?可能是血液在"倒流"——揭秘锁骨下动脉盗血综合征

你是否有过这样的经历:一侧手臂总是发凉、发麻,拎点东西就酸痛无力;一抬手、一转头就头晕、眼前发黑,甚至天旋地转;量血压时发现左右胳膊血压差一大截,差值超过 20mmHg;反复出现眩晕、视物模糊,却查不出颈椎、耳朵的问题……

wuwei

1.病例摘要

患者,女性,68岁,主因“间断性头晕、头痛5年,加重1月”入院。

既往史:有“高血压病”病史8年,“糖尿病”病史6年。

颈部血管彩超:左侧椎动脉测得负向血流(左侧锁骨下动脉狭窄并窃血可能)

监测血压提示“右侧189/115mmHg,左侧106/88mmHg。”

2.探明病因:当手臂“盗取”了大脑的血液

锁骨下动脉盗血综合征 (Subclavian Steal Syndrome,SSS)是指一侧锁骨下动脉或无名动脉在其近心端发出椎动脉前出现狭窄或完全闭塞时,导致患侧上肢血压下降,产生虹吸效应,致使患侧椎动脉血流逆行(甚至将对侧椎动脉部分血液也盗取过来)至锁骨下动脉远心端来供应患侧上肢,因而引起椎-基底动脉供血不足的综合征,其中左锁骨下动脉狭窄最常见(80%)。

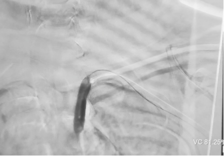
3.技术揭秘:微创介入,如何重建“生命通道”

造影定位,锁定病变:

wuwei

左侧锁骨下动脉盗血

wuwei

锁骨下动脉重度狭窄

球囊预扩,打开通道:

wuwei

支架释放,一锤定音:

wuwei

最终造影,验证通畅:

wuwei

wuwei

4.术后管理:至关重要的“养护”指南

(1)药物基石: 双联抗血小板治疗,预防支架内血栓

(2)严密监测: 定期复查超声与血压,警惕再狭窄

(3)生活方式干预: 控制“三高”,戒烟限酒

(4)长期随访: 建立健康档案,实现终身管理

wuwei

重要提醒

高危人群要警惕!

✅ 中老年人(50 岁以上高发)

✅ 高血压、高血脂、糖尿病患者

✅ 长期吸烟、动脉硬化人群

✅ 既往有血管狭窄、血栓病史者

从解除“头晕”到恢复“力气”,两位患者的顺利康复,是我院神经医学中心团队最大的欣慰。我们完成的不仅是一次介入手术,更是一次郑重的健康托付。我们以精准为刃,以信任为盾,继续以追本溯源的匠心和精益求精的技术,应对更多复杂脑血管疾病的挑战,守护生命的奔流不息。

神经医学中心简介

甘肃省武威肿瘤医院神经医学中心是集临床医疗、教学、科研及人才培养为一体的学科,业务涵盖神经内科、神经外科、神经介入、神经重症、神经康复等多个学科领域,患者可以在中心完成从疾病诊断、治疗、康复、预防、心理关怀、健康教育到长期随访等“一站式”全程诊疗服务。科室人员配置合理、技术力量雄厚,医疗经验丰富,现有兰州大学第一附属医院神经外科常驻专家1名,副主任医师2名、主治医师3名、住院医师3名,其中硕士研究生4人,护理人员11名。

【神经医学中心诊疗范围】

1.神经内科专业:脑梗死、脑出血等脑血管病、周围神经疾病、脊髓病变、中枢神经系统脱髓鞘病变、运动障碍病变(如帕金森病)、神经肌肉接头疾病(重症肌无力等)以及头痛、眩晕、癫痫、睡眠障碍等疾病的诊治。

2.神经外科专业:脑肿瘤、脑出血、脑血管畸形、脑动脉瘤、脑外伤等常见疾病的外科诊疗救治;包括颅脑肿瘤的显微外科手术、经鼻蝶垂体瘤手术、重型颅脑损伤手术、三叉神经、面肌痉挛微血管减压术、先天性颅脑畸形的手术、颅内肿瘤神经导航下穿刺活检、颈动脉内膜剥脱术、帕金森病脑深部电刺激术(DBS)、癫痫立体定向脑电图(SEEG)技术、脑积水脑室腹腔分流术等;

3.神经介入专业:脑卒中动、静脉溶栓;脑血管造影(经桡、经股入路)、脊髓血管造影;颅内动脉取栓术;颅内动脉狭窄血管成形、支架置入术;颈动脉支架植入手术;椎动脉支架植入手术;脑动脉瘤介入栓塞术等。

我中心长期与北京天坛医院、复旦大学附属华山医院、四川大学华西医院、兰大一院、兰大二院等国内知名专科院所长期协作,组建医联体联盟;并长期聘请省内外知名专家来院查房、手术指导,以便更好的服务于广大患者。

就诊地址:

甘肃省武威肿瘤医院中心院区门诊508室

甘肃省武威肿瘤医院中心院区住院部十楼

wuwei

让我们联系您

陇ICP备 16002480号-5