微创介入科新技术介绍一椎体成形术治疗脊柱骨转移癌
微创介入科新技术介绍一椎体成形术治疗脊柱骨转移癌
微创介入科新技术介绍
椎体成形术治疗脊柱骨转移癌
椎体成形术全称为经皮穿刺椎体成形术(percutaneous vertebro plasty,PVP),属于微创手术,是通过向病变椎体内注入骨水泥(聚丙烯酸甲酯,polymethylacrylate,PMMA)或人工骨达到强化椎体的技术。1984年由Deramond发明并首次应用,1987年法国医师Galibert首次应用于椎体血管瘤的治疗,1994年美国首次报道将PVP应用于骨质疏松性椎体骨折的治疗,现在对于椎体转移瘤也选用椎体成型术进行椎体强化预防病理性骨折和缓解疼痛。
我院借助先进的大孔径CT影像设备进行引导,利用CT扫描数据,进行穿刺计划的设计,以精准的穿刺路径准确到达病变椎体,进行骨水泥注射,能够做到穿刺过程中重要组织无损伤,骨水泥注射量精准控制的目的。
比如以下病例:患者女性,既往肺部病变,经过多家医院就诊,诊断为为肺部恶性肿瘤,进行免疫靶向治疗。PET-CT检查提示多部部位转移病灶形成。我院MRI检查提示T12L1椎体病变,考虑转移癌病变。脊柱查体:患者腰部活动受限,疼痛明显。
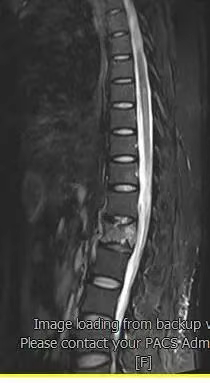
患者术前磁共振检查影像学表现:




患者术前的磁共振检查结果提示:L1椎体病变,结合病史考虑为转移癌。影像学评估提示L1椎体高信号表现,椎体高度未发生塌陷表现,椎管内容物无受压表现。患者临床腰椎功能活动受限,疼痛明显,相关生命体征平稳。
结合患者影像学检查和临床表现,认为患者存在L1病变椎体成形术的适应症,完善相关检查及术前准备后,予以患者CT引导下的椎体成形术。
患者经过治疗进行疼痛评估和脊柱功能评估提示,患者疼痛严重程度明显下降,腰椎活动度较治疗前好转。
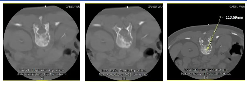
手术操作步骤
a:CT扫描确定病变部位,定位后设计穿刺路径,测量进针深度和角度;

b:避依据测量进针深度,植入穿刺针,经过椎弓根或者椎弓根外侧缘进行穿刺,多次扫描确定进针的方向和深度,避免进入椎管;随时调整进针方向;

c:穿刺针经过椎弓根,准确进入椎体病变区域;

d:应用推杆少量多次注入骨水泥,观察病变区域骨水泥的填塞状况;

E:优骨水泥注射结束后,拔除穿刺针后再次扫描,确定骨水泥注射后情况。

案例分析
一、适应症与禁忌症
适应症:
椎体转移性肿瘤:通过骨水泥填充破坏病灶并加固椎体。脊柱椎体保持正常的高度,椎体后缘未形成椎管内占位,椎体中柱的相关解剖结构完整。
禁忌症:
1、椎体感染或全身感染:可能加重炎症扩散。2、严重凝血功能障碍:增加术中出血风险。3、椎体后壁不完整或神经压迫:骨水泥渗漏可能损伤神经。

二、手术过程
术前准备:
1、影像学检查(CT、MRI、ECT、PET-CT)明确椎体转移病灶的位置和范围。2、评估患者心肺功能及凝血指标,确保患者能够进行俯卧位手术和耐受必要的麻醉过程,患者能够俯卧位1小时左右,可以进行轻度的姿势调整。
三、手术步骤
1、麻醉:局部麻醉为主,必要时辅以镇静;也可以为患者选择椎旁神经阻滞技术,部分选择气管插管全麻。
2、穿刺定位:可以选择的影像设备包括C臂、DSA数字减影系统、CT。不同的影像引导设备所需要的的操作技巧不同。我院习惯于在CT影像引导下,完成所有的临床操作。通过定位、设计穿刺路径、测量进针深度和角度,建立完整的治疗通道。
3、骨水泥注入:穿刺完成后进行确认,所建立的工作通道完全位于脊柱椎骨的安全区域内,调配医用骨水泥(如聚甲基丙烯酸甲酯),应用导管或者注射器通过穿刺针缓慢注入椎体内,进行骨转移瘤的椎体强化,并通过骨水泥的产热作用行程局部的肿瘤杀伤作用。注射过程中反复进行影像复核,确保椎体后缘无骨水泥的渗漏。
4、术后观察:确认骨水泥凝固且无渗漏后缝合创口。
四、优势与风险
优势:
1、快速止痛:临床经验证实多数患者术后24-48小时疼痛显著缓解,有相当惊人的早期止痛作用,可以说目前任何一种药物治疗都不能获得如此有效的止痛效果。椎体成形术在治疗椎体骨转移癌的过程中不适用球囊扩张器,但是无论球囊扩张PKP还是传统的PVP,都具有确实可靠以及高效的止痛作用,文献报道疼痛的缓解率为70%~95%。在椎体成形基础上进行
2、微创操作:创口仅2-3毫米,恢复周期短,不影响患者术后的基本活动能力,通常术后当天可下床。
3、减少并发症:避免长期卧床导致的肺炎、深静脉血栓等风险。PVP手术时间约30分钟,术后24小时患者即可在外固定保护下离床恢复正常生活,减少了卧床相关并发症的发生率。由于患者早期活动,避免了长期卧床带来的诸如肺炎、压疮、尿路感染等并发症和护理上的不便。后期可以预防椎体压缩和后凸畸形引起的背部疼痛、胃胀不适甚至直立困难等症状。还可以防止病理性骨折椎体的进一步压缩、塌陷。
潜在风险:
1、骨水泥渗漏:有报道骨水泥渗漏率在10%左右,可能压迫神经或血管。由于骨转移瘤可以对椎体周围的软组织形成破坏,所以在骨转移癌椎体注射骨水泥的过程中出现渗漏的可能性相比较骨质疏松症病理性骨折出现的渗漏可能性加大,需要少量多次的进行注射病观察。骨水泥渗漏的方位可以包括椎管内、侧椎管、椎体周边、椎间隙、椎旁血管内,只要不出现椎管内的脊髓神经压迫症状,别的部位的渗漏带来的严重并发症较少。
2、过敏或发热:极少数对骨水泥成分产生反应,通过治疗前的适当药物注射可以预防。
五、术后护理与注意事项
1、活动指导:术后2-4小时内需卧床观察,无异常后可逐步恢复日常活动。
2、康复训练:在医生指导下进行腰背肌锻炼(如桥式运动)以增强脊柱稳定性。
3、长期管理:由于骨转移癌的病变多呈现出病变部位多、单个椎体病变的解剖部位随机化特点,所有要针对骨转移癌患者的病变部位的严重性和转移病灶是否对椎管内容物行程压迫,制定符合椎体病变程度的个性化治疗方案。
4、肿瘤患者需要观察患者全身状况状况,患者可能存在有多个椎体的转移癌病变,需要逐个椎体多次的进行处理,治疗的过程较长;同时还需要针对患者原发病灶的病理性质进行全身治疗。
5、如果出现骨水泥的渗漏,需要立即停止骨水泥的注射,同事密切观察患者脊髓神经功能变化,如存在进行性的激励下降和皮肤感觉异常,那么就需要及时的进行椎管减压和骨水泥摘除。
六、与其他治疗方式的对比
1、保守治疗(如卧床、支具):适用于轻度骨折,但恢复周期长(3-6个月),并发症风险高。
2、开放手术:需植入内固定物,创伤大且费用高,多用于合并神经损伤的复杂骨折。3、椎体成形术通过精准的微创操作,为特定类型椎体骨折提供了高效的治疗方案,但需严格把握适应症并配合术后管理,以实现最佳疗效。
七、止痛机制
椎体成形术缓解疼痛机制可能是骨水泥在骨折椎体内的锚定,使骨质疏松椎体内微骨折得到固定,增加了椎体的稳定性,从而减少了对椎体内痛觉神经末梢的刺激;另外还有可能是骨水泥聚合反应放热与毒性作用破坏了椎体内的神经末梢及炎性致痛因子,改变了椎体内微环境,降低了疼痛敏感性,阻断了疼痛介质生成,达到了止痛效果。
专家团队

苏安平
主任医师,博士学位,甘肃省武威肿瘤医院兰州重离子中心外科负责人,开展脊柱退行性疾病的开放和微创手术治疗;骨与软组织肿瘤的规范化切除手术、微波热凝/氩氦刀冷凝/纳米刀消融/骨水泥注射等微创手术、骨与软组织恶性肿瘤的重离子放射治疗。
就诊地点:甘肃省武威肿瘤医院兰州重离子中心微创介入科
联系电话:苏安平 13893592413

杨乾滋
骨与康复科主任、副主任医师,从事骨科科工作十余年,擅长骨肿瘤根治技术的应用及骨科多发病,常见病的诊疗。曾在兰州大学第二医院骨科进修学习骨科技术,在兰州大学第一医院骨科进修学习骨肿瘤的介入栓塞治疗。在国家级、省级学术期刊上发表论文2篇。
就诊地点:甘肃省武威肿瘤医院武威重离子中心骨与软组织肿瘤科
联系电话:杨乾滋 15379332290