武威重离子中心重(碳)离子治疗食管癌78例临床分析

发布来源:甘肃省武威医学科学院
发布时间:2026-03-21 00:00:00
字体:

武威重离子中心重(碳)离子治疗食管癌78例临床分析

一、基本情况统计

截至2026年3月5日,共治疗食管癌患者78例。其中男性64例,女性14例;平均年龄(60.86±8.84)岁,最大年龄86岁,最小年龄47岁。按照临床分期分类,I期2例、II期 12 例、III期27例,IV期31例(见表1)。

wuwei

二、典型病案举例

病例一:患者,张xx,男性,60岁,江苏徐州籍。确诊食管癌3月余。2022-02 患者于徐州市肿瘤医院行胸部CT提示:食管胸下段占位性病变。胃镜示:食管下段新生物;病检示:鳞状细胞癌。给予2周期“卡铂+白蛋白紫杉醇”治疗。无明效效果, 2022-04 患者复查胃镜示:距门齿约25cm起始至贲门见不规则粘膜隆起,质硬,触之易出血,管腔狭窄。2022-05 患者行PET-CT示:1.食管中下段原发病灶糖代谢明显增高;右上纵隔气管旁及肝胃间隙多发增大淋巴结,代谢中度增高,考虑转移;左侧肾上腺结节灶,代谢明显增高,考虑转移。颈部腹部多发淋巴结转移。食管中下段鳞状细胞癌(隆起型):多发淋巴结转移,左侧肾上腺转移,左侧甲状腺转移      cT4N2M1 IV期 KPS评分:70分 ECOG评分:2分。2022-05-20 患者仅能进食半流质食物,感全身乏力,就诊于我院行进一步治疗。重离子治疗期间,体重增加了10公斤。

wuwei

wuwei

wuwei

wuwei

wuwei

wuwei

wuwei

wuwei

本例非常晚期的食管癌,采用重离子广泛治疗后,效果良好,长期生存。肿瘤消失,体力状况良好。

【病例提供医生:张一贺主任 科室:放疗中心一科】

病例二:苏某某,男,73岁,兰州某高校教授。2022 年 6 月 患者出现轻微吞咽困难,因新冠疫情未做进一步检查。2022 年 8 月 16 日患者入住兰州大学第二医院,行上消化道造影显示食管上段偏心性狭窄伴充盈缺损,病变长度约 2.1 厘米。活检确诊食管鳞状细胞癌。2022 年 8 月 30 日,患者入住天津肿瘤医院,行胃镜检查显示食管距门齿约 20 厘米处管腔狭窄。颈部及胸部 CT 显示食管起始部局部管壁增厚,伴右侧颈部淋巴结转移。纵隔内可见多发淋巴结。上消化道造影显示食管上段管腔狭窄,管壁僵硬,黏膜紊乱,充盈缺损约 3.2 厘米。诊断为食管癌 cT2N1M0  Ⅱ期。截止发稿日,重(碳)离子治疗后40个月患者食管肿瘤完全消失,进食顺畅,体力状况良好。

wuwei

wuwei

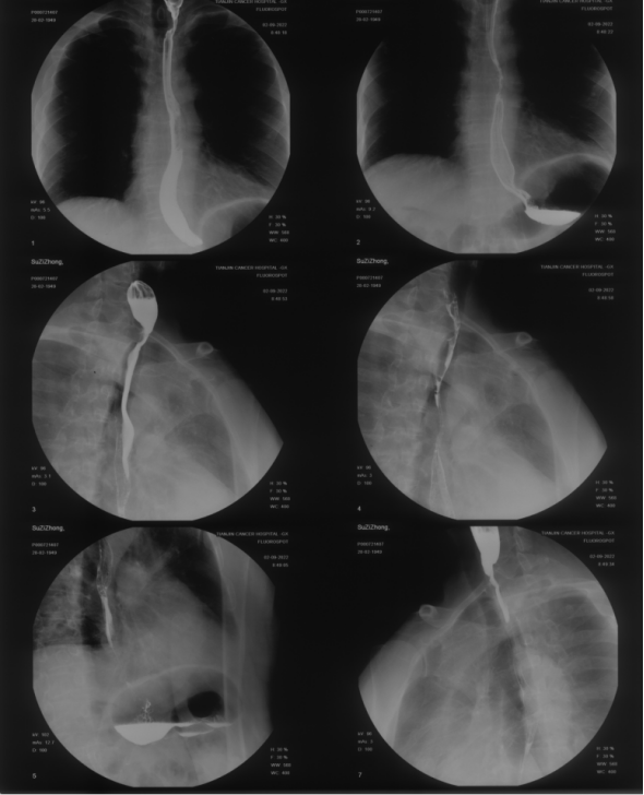
2022年09月2日上消化道造影见食管上段管腔狭窄,管壁僵硬,黏膜紊乱,充盈缺损约3.2cm。

wuwei

上图为2022年09月10日再次食管镜检查

wuwei

下图为重(碳)离子治疗后图

wuwei

wuwei

为该患者食管上段癌重(碳)离子治疗后40个月,患者食管肿瘤完全消失,进食顺畅,体力状况良好。

【病例提供医生:张雁山 科室:放疗中心一科】

三、生存情况

78例食管癌患者,其随访时间(0~47)个月。采用Kaplan-Meier法(K-M法)进行生存分析,治疗结束时累计生存概率为1,治疗结束后12、24、36月的累计生存概率分别为0.7060、0.5706、0.5706。(见表2)

其中,41例I~III期食管癌患者,其随访时间(0~47)个月。使用K-M法进行生存分析,治疗结束时累计生存概率为1,治疗结束12、24、36的累计生存概率分别为0.7671、0.7671、0.7671,(见表2、图1)。31例IV期食管癌患者,其随访时间(0~31)个月。使用K-M法进行生存分析,中位生存时间14个月(95%CI:3~25);治疗结束时累计生存概率为1,治疗结束后12、24个月的累计生存概率分别为0.6074、0.2718。(见表2、图1)。

wuwei

四、结论

本研究对武威重离子中心收治的78例食管癌患者进行了回顾性分析,结果显示,重(碳)离子治疗食管癌取得了令人鼓舞的初步疗效。全组患者12、24、36个月累计生存概率分别为70.60%、57.06%和57.06%,其中I~III期患者36个月生存概率达76.71%,IV期患者中位生存时间达14个月,展现了重离子在局部晚期及晚期食管癌治疗中的独特优势。重(碳)离子治疗食管癌没有放射性肺炎的顾虑,没有肿瘤会有放疗抵抗,随着经验的积累,我们的数据显示重(碳)离子治疗食管癌效果越来越好,再其它治疗的基础上至少提高了20%的生存率,以后我们要加快治疗数量的步伐。

目前国际上关于重离子治疗食管癌的大宗临床报道仍较为有限,相关研究尚处于探索阶段。在此背景下,武威重离子中心始终秉持“行稳致远”的审慎态度,在严格把握适应证、规范治疗流程的基础上,稳步积累病例,扎实推进临床实践与随访工作。上述真实世界数据不仅为后续前瞻性研究奠定了坚实基础,也为我国重离子治疗食管癌的临床应用提供了重要参考。

随着临床经验的不断积累和治疗体系的持续优化,我们有理由相信,重离子治疗在食管癌领域将展现出更为广阔的前景。下一步,中心将加快推进前瞻性临床研究,进一步明确重离子在食管癌治疗中的最佳剂量分割模式、联合治疗策略及优势人群筛选。同时,临床实践表明,重离子治疗可显著降低放射性肺炎等正常组织损伤的发生风险,对放疗抵抗亦显示出良好的克服能力,为食管癌患者提供了更安全、更高效的治疗选择。



撰稿人:陈雪莲、李鹏庆(肿瘤登记随访办)

审核:张雁山(甘肃省武威肿瘤医院副院长)

时间:2026年3月21日

让我们联系您

陇ICP备 16002480号-5