精准抗癌新选择 碳离子治疗临床案例
精准抗癌新选择 碳离子治疗临床案例
一、碳离子治疗的核心优势及特点
碳离子作为重离子放疗的重要类型,具备“精准杀伤+高效抗癌”的双重核心优势,其特点主要体现在三方面:一是生物学效应高(RBE值高),能精准破坏肿瘤细胞DNA双链,对传统放疗不敏感的难治性肿瘤(如胰腺癌、部分淋巴瘤)杀伤效果更显著;二是剂量分布精准,借助“布拉格峰”物理特性,可将高剂量集中在肿瘤病灶,最大限度减少周围正常组织(如血管、内脏)的辐射损伤;三是治疗周期短,相较于传统光子放疗,碳离子治疗单次剂量更高,总治疗次数更少(重离子治疗通常为十几次左右,传统光子放疗需要二三十次),能大幅缩短患者治疗周期,降低治疗期间的身体负担。
二、临床病例分享
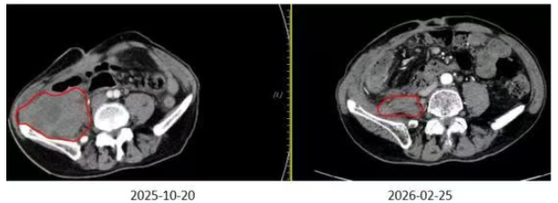
腹膜后粘液纤维肉瘤患者杨某某
1. 简要病史:患者杨某某,男性,54岁,主因“腹膜后粘液纤维肉瘤术后9年,反复复发4次”入院。2016-10在兰大二院因右下腹肿物行微创手术,术后病检结果提示:(腹部肿瘤)肿瘤大小6cm×4cm×3cm,考虑粘液纤维肉瘤,2级。术后行6周期AC方案全身静脉化疗。2018-06-27复查PET-CT结果提示:右侧腰大肌右旁及前缘分别见大小约25.2mm×27.8mm、19.7mm×18.5mm结节影,考虑转移,行微创手术,术后口服安罗替尼靶向治疗半年,期间复查病情稳定。2023-10在兰大二院复查结果提示复发。2023-12在中山大学附属医院行盆腔肿物穿刺病检提示:诊断为间叶源性恶性肿瘤,倾向为纤维肉瘤。2024-01-05行开腹手术。2025-03在兰大二院复查结果提示复发。2025-03-17在西京医院行全麻下右半结肠切除+腹膜后肿瘤切除+腹腔广泛粘连松解术,术后病理:(右半结肠+腹膜后肿瘤切除标本)粘液纤维肉瘤。2025-09-11在西京医院复查结果提示右侧髂肌、腰大肌区占位,考虑复发可能,2025-09-18在全麻下开腹手术(具体不详)。2025-10-09在永登县人民医院查腹部彩超结果提示右下腹两个低回声包块,其一大小5.8cm×3.5cm,其二大小5.0cm×2.5cm。后就诊于我科,于2025-10-28开始行盆腔转移瘤碳离子放疗,处方剂量:PTV: 44Gy(RBE)/11Fx,PTVboost1: 12Gy(RBE)/3Fx,PTVboost2:4Gy(RBE)/1Fx,PTVboost3:16Gy(RBE)/4Fx,放疗期间给予“盐酸安罗替尼胶囊12mg 口服 1次/天”靶向治疗。
2.影像科对比

三、总结
碳离子治疗凭借精准、高效、低损伤的优势,已成为腹盆部难治性肿瘤(如胰腺癌、胆管瘤)治疗的重要突破方向。甘肃省武威肿瘤医院放疗三科依托专业团队、先进设备及丰富临床经验,在碳离子治疗领域积累了显著疗效,不仅为已就诊患者带来了生存希望,更通过临床研究为更多局部晚期胰腺癌患者开辟了新的治疗路径。若您或身边亲友符合临床研究招募条件,可通过文中方式咨询报名,与专业团队携手,共同对抗肿瘤,开启康复希望之旅。
免费临床研究招募
我科正在开展一项“重离子放射治疗联合吉西他滨同步化疗治疗局部晚期胰腺癌的II期临床研究”。这项研究采用了国际先进的重离子放疗技术,结合吉西他滨化疗,旨在提高局部晚期胰腺癌的控制率和远期生存率。
为什么选择我们的临床试验?
1.国际领先的重离子放疗技术
重离子放疗具有更高的生物学效应(RBE值),能够精准杀伤肿瘤细胞,同时最大程度地保护周围正常组织。研究表明,重离子放疗在胰腺癌治疗中的效果优于传统的光子放疗。
2.联合吉西他滨化疗
吉西他滨作为胰腺癌治疗的标准化疗药物,与重离子放疗联合使用,能够发挥协同作用,进一步提高治疗效果。
3.专业团队保驾护航
我们的研究团队由经验丰富的肿瘤学专家组成,依托武威重离子治疗肿瘤专用装置,确保治疗的安全性和有效性。
4.全方位的患者关怀
我们将为您提供详细的病情评估、个性化的治疗方案以及全程的随访服务,确保您在治疗过程中得到最佳的医疗关怀。
招募条件
●年龄在18-75岁之间;
●病理诊断为胰腺癌;
●符合局部晚期胰腺癌标准,无远处转移,肿瘤最大径≤6cm;
●既往未接受过手术、粒子植入等其他局部治疗;
●一般状况良好,无器官功能受限,能耐受本次治疗;
●自愿参与研究,能配合完成治疗及随访。
参与福利
●免费接受重离子根治性放疗(一个治疗野19.8万元)及后续治疗方案制定;
●享受专业医疗团队的全程跟踪和治疗。
如何报名?
如果您符合上述条件,并有意参加本研究,请通过以下方式咨询报名:
●咨询热线:13519351968
●联系人:陈威佐主任
●地址:甘肃省武威肿瘤医院重离子中心5号楼1楼放疗三科
招募期限
招募满30人截止。
临床试验背景
胰腺癌是致死率极高的癌症,起病隐匿,大约三分之一的患者发现已属于局部晚期胰腺癌(LAPC)。光子放疗在局部不可切除胰腺癌中的作用结果尚不理想。重离子较质子有更高的RBE值,显示出较好的总生存率。我们希望通过这项研究,利用重离子物理学和生物学优势,提高LAPC控制率和远期生存率。
加入我们,开启希望之旅!
不要放弃希望,加入我们的临床试验,让我们一起为战胜胰腺癌而努力!
放疗三科简介
●科室概述
放疗三科(胰腺重离子专科 腹盆部重离子专科),主攻胰腺癌重离子治疗,以及肝癌、结直肠癌、前列腺癌等腹盆部肿瘤的重离子及光子放疗。自开诊以来,国内各地胰腺癌患者慕名而来,能使患者在无痛苦、不开刀、无损伤的情况下,精准的杀灭胰腺癌细胞。先后治疗来自全国各地胰腺癌患者几十例,1年局部控制率高达90%以上,中位生存时间从传统的11个月提高到19个月,疗效确切,患者治疗体验好,治疗疗效得到国内外知名专家及广大患者的充分认可。
●专业团队
团队成员均毕业于国内知名医学院校,具备扎实的医学理论基础和丰富的临床实践经验。科室特聘德国浩费教授、日本辻井博彦教授、台湾任益民教授、吴嘉明教授等专家指导工作,进行疑难病例会诊、学术讲座、科室查房。科室人员先后在国内多家知名重离子及光子治疗中心研修学习结业,具有丰富的重离子治疗经验,能够为患者制定科学合理的治疗方案。

●治疗范围
科室以胰腺癌重离子治疗为主、同时开展肝癌、结直肠癌、前列腺癌等腹盆部肿瘤的重离子及光子治疗,可为患者提供专业的放射治疗与个性化肿瘤综合治疗服务。
●科室专家介绍:

陈威佐
甘肃省武威肿瘤医院重离子中心 放疗三科主任 副主任医师
甘肃省“陇原青年英才”
中国核学会近距离治疗与智慧放疗分会理事
中国医学装备协会离子放射治疗分会委员
全国卫生产业企业管理协会肿瘤分会委员
西部放射治疗协会青年分会委员
CRTOG放射免疫IR青委会委员
甘肃省抗癌协会胃癌/大肠癌专业委员会青年委员会委员
武威市医学会放射治疗专业委员会委员
主持中国科学院“西部之光”人才培养计划项目1项;甘肃省省委组织部“陇原青年创新创业”人才项目2项。项目荣获“甘肃省科技进步奖”三等奖。
发表SCI论文12篇,中文核心期刊论文6篇。国家发明专利2项,实用新型专利3项。发明专利荣获“全国发明展览会”金奖,国家“发明创业奖”项目奖二等奖。
从事肿瘤临床治疗工作20年,擅长各类肿瘤的放射治疗及综合治疗,特别是腹盆腔肿瘤重离子治疗,对胰腺癌、肝癌、结直肠癌、前列腺癌等腹盆部肿瘤的放射治疗与个性化综合治疗有深入研究。先后在上海质子重离子医院、北京大学第三医院、四川省肿瘤医院等地深造研习。多次荣获我院“先进工作者”称号。