全球首创双布拉格加重离子晶格放疗技术正式应用临床
全球首创双布拉格加重离子晶格放疗技术正式应用临床
近日,甘肃省武威肿瘤医院武威重离子中心再迎新突破——全球首创双布拉格加重离子晶格放疗技术正式应用临床。

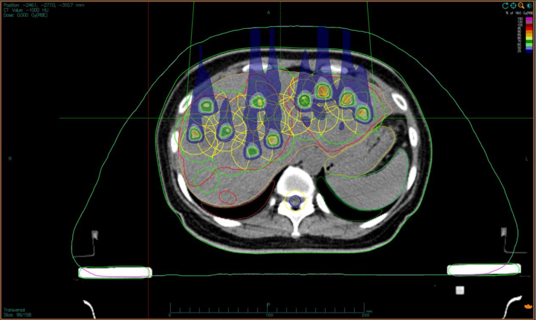
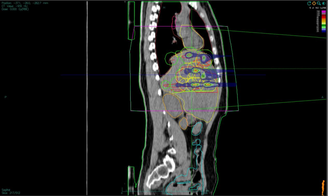
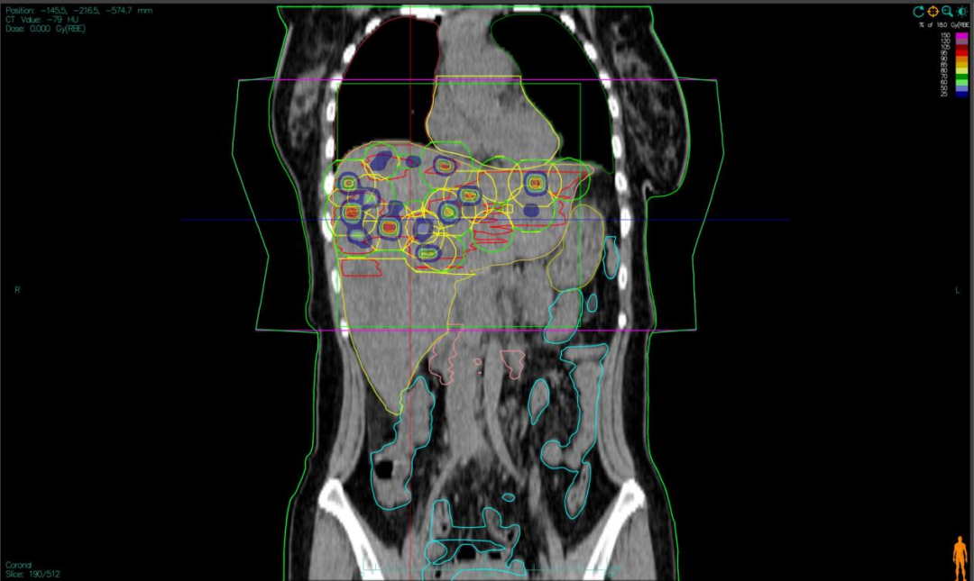
“双布拉格”,并非指代两个物理峰值,而是两大核心治疗理念的深度碰撞与融合。第一个“布拉格”,是物理学范畴的布拉格峰——重离子束流可在体内特定深度释放绝大部分能量,这一特性构筑起“指哪打哪”、极致保护正常组织的物理基石。第二个“布拉格”,是免疫学范畴的布拉格治疗,即国际前沿的PRaG协同治疗方案。它通过精准放疗在局部“点火”,释放肿瘤抗原;以GM-CSF为“导航”,引导免疫系统识别肿瘤细胞;再借助PD-1抑制剂“解除免疫刹车”,让免疫细胞能够持久、全身性地攻击肿瘤,最终追求珍贵的“远隔效应”。而晶格放疗,正是连接两大“布拉格”理念的关键桥梁。针对常规手段无法照射的巨大肿瘤,它将均匀剂量场转化为无数离散的高剂量“能量岛屿”。这种模式不仅能奇迹般保护穿插其中的正常组织与脉管结构,其独特的剂量分布,更被证实可高效诱发免疫原性细胞死亡,将物理打击的能量,转化为激活全身免疫反应的“信号”,让肿瘤的局部治疗与全身控制成为现实。

四大优势协同发力:一,依托重离子射线特有的“布拉格峰”物理特性,实现对深部肿瘤的“定点爆破”;二,采用“晶格放疗”先进布野技术,在巨大肝肿瘤内部精准布设能量“棋盘格”,在高效杀伤肿瘤细胞的同时,为残存正常肝组织与关键脉管留存生存空间;三,将此次精准物理打击,完美嵌入“布拉格治疗”免疫协同策略,以此作为激活全身免疫反应的“点火器”,联合PD-1抑制剂与GM-CSF,力求激发远隔效应,对未被照射的病灶形成攻击;四,引入干细胞支持下的新一代免疫细胞疗法,整合诱导多能干细胞(iPSCs)或间充质干细胞(MSCs)来源的免疫效应细胞(如CAR-T、CAR-NK和TCR-T细胞)与工程化技术,显著提升癌症免疫治疗的可及性与疗效。



“双‘布拉格’晶格放疗”这项创新技术,正是我院在“荟萃全球前沿技术,普济天下肿瘤患者”使命驱动下的最新实践成果。未来,我们将持续深化融合创新,将精准物理手段、前沿生物免疫研究与个体化临床方案深度结合,矢志不渝朝着“成为全球肿瘤患者战胜肿瘤的目的地”愿景迈进,为更多身陷绝境的患者,开辟重生的希望之路。