热牙胶充填技术—牙髓病和根尖周病患者的福音
热牙胶充填技术—牙髓病和根尖周病患者的福音
根管充填,尤其是复杂和弯曲根管,医生一般采取冷侧方加压充填,要花30-40分钟才可以完成,而且往往不可避免的会产生一些间隙、气泡、以及侧枝根管充填不密实的现象,同时工作过程中所需要的糊剂过多,侧压时可能导致根折。
为更好地治疗牙髓病及根尖周疾病,为患者提供更好的治疗效果和舒适的治疗过程,满足患者日益增长的就诊需求,近日,武威肿瘤医院口腔科引进了啄木鸟热凝牙胶根管充填系统。

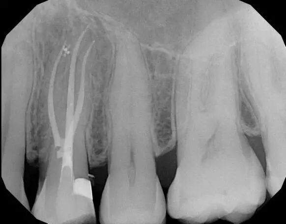
热凝牙胶根管充填技术是利用牙胶加热软化后具有流动性的特点,实现了根管的三维充填,使根管充填的效果更理想。它是目前国际认可的最佳根管治疗充填技术。


与传统方法相比,热牙胶根管充填技术有其独特的优越性:
一是精确度高,可达根尖0.5mm左右;
二是高效,可明显缩短操作时间,减少患者因长时间张口而带来的不适和疲劳感;
三是封闭性好,尤其适用于狭窄弯曲和形态复杂的根管治疗,防止再次感染;
四是稳定性强,可塑性佳,便于进一步治疗。

从长远来看,热凝牙胶根管充填技术对提高根管治疗质量和牙齿保存率都有重要意义,成为口腔牙髓病及根尖周疾病患者的福音。


武威肿瘤医院口腔科一直致力于为患者提供优质高效的医疗服务,随着热牙胶充填系统及口腔显微镜的引进,通过不断提高医疗质量,规范医疗操作,我科会更好的服务好每一位患者。
供稿:武威医学科学院肿瘤医院口腔科
联系我们
咨询电话:韩主任(13649354612)
就医地址:武威医学科学院肿瘤医院口腔科眼科楼三楼